Рак легких немелкоклеточный
Рак легких ежегодно поражает более 63000 россиян, 53000 из которых мужчины. Многие считают, что их заболевание спровоцировано курением. Правда состоит в том, что у большинства курильщиков не развивается рак легких, и не все люди, у которых диагностируется рак легких, курят.
Немелкоклеточный рак легких
Существует 2 основных разновидности рака легких: мелкоклеточный рак легкого и немелкоклеточный рак легкого (НМРЛ). Эти 2 вида требуют разного лечения.
НМРЛ начинается, когда здоровые клетки изменяются и начинают неконтролируемо расти, образуя массу, называемую опухолью, очагом или узелком. Опухоль легкого может образоваться в любом месте легочной ткани. Новообразование может быть раковым или доброкачественным. Разрастаясь, оно начинает вырабатывать клетки. Они разносятся с кровью или с жидкостью, называемой лимфой, окружающей легочную ткань. Лимфа перетекает через трубки ( лимфатические сосуды) и попадает в места скопления лимфы (лимфатические узлы). Лимфоузлы — маленькие органы в форме фасолины, способствующие борьбе с инфекциями. Они расположены в разных участках тела (в том числе в легких и в районе грудины). Естественный отток лимфы из легких направляется к центру грудной клетки, именно поэтому там рак легких чаще всего распространяется в первую очередь. Процесс, при котором раковая клетка попадает в лимфоузел или в отдаленную часть тела через кровоток, называется метастазированием.

Виды НМРЛ
НМРЛ начинается в эпителиальных клетках. НМРЛ можно классифицировать на основе вида эпителиальной клетки, родоначальнице онкопроцесса:
- Аденокарцинома начинается в клетках, выделяющих слизь.
- Плоскоклеточный рак начинается в клетках, выстилающих дыхательные пути.
- Крупноклеточный рак начинается в других видах клеток.
Для определения варианта лечения врачу важно отличать рак легких, который начинается в плоских (сквамозных) клетках, от рака легких, который начинается в других клетках.

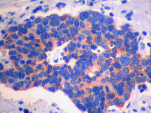
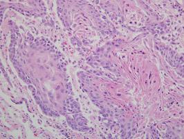
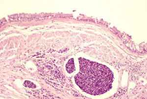
- Рис.1 Нормальная легочная ткань
- Рис.2 Легкое: аденокарцинома
- Рис.3 Легкое: плоскоклеточный рак
ФАКТОРЫ РИСКА И ПРОФИЛАКТИКА НЕМЕЛКОКЛЕТОЧНОЙ ОНКОЛОГИИ ЛЕГКИХ
Фактор риска — это все то, что увеличивает вероятность развития онкопатологии. И хотя факторы риска зачастую влияют на развитие рака, большинство из них непосредственно не вызывают рак. Знание собственных факторов риска и обсуждение их с врачом поможет сделать более осознанный выбор образа жизни и медицинского обслуживания. НМРЛ чаще всего встречается у курильщиков – бывших или нынешних. Однако и некурящие могут находится в группе риска.
Риск развития НМРЛ могут повысить следующие факторы:
- Табак и курение. Табачный дым повреждает клетки легких, вызывая их атипичный рост. Риск того, что курение приведет к раку, выше у заядлых курильщиков со стажем. Регулярное воздействие дыма чужих сигарет, сигар или трубок может увеличить риск заболевания даже у некурящего. Это называется воздействием окружающего табачного дыма, или пассивным курением.Курение марихуаны и электронных сигарет также увеличивает возможность развития онкопроцесса.
- Асбест. Похожие на волосы кристаллы, содержащиеся во многих видах горных пород, часто используются в качестве огнезащитной изоляции в зданиях. При вдыхании асбестовых волокон происходит раздражение легких. Многие исследования показывают, что сочетание курения и воздействия асбеста особенно опасно. Курильщики, работа которых связана с асбестом в таких областях, как судостроение, добыча асбеста, изоляция помещений или ремонт автомобильной тормозной системы, имеют более высокий риск развития НМРЛ. Использование средств защиты дыхания снижает этот риск.
- Радон. Бесцветный газ без запаха, выделяется из некоторых видов почвы и пород. Воздействие радона связано с повышенным риском развития злокачественных опухолей.
- Другие вещества. Другие вещества, например, газы или химикаты на работе или в окружающей среде могут увеличить риск развития онкопроцесса. Также провоцируют рак легких действие радиации, мышьяка, никеля и хрома.
- Генетические факторы. У некоторых людей есть генетическая предрасположенность к раку легких, особенно при отягощенном семейном анамнезе.
Профилактика
Основным способом профилактики рака легких является отказ от курения. У некурящих самый низкий риск развития опухоли. У людей, отказавшихся от табака, вероятность заболеть снижается, однако он по-прежнему будет выше, чем у тех, кто никогда не курил.
ПОСЛЕДУЮЩЕЕ НАБЛЮДЕНИЕ И КОНТРОЛЬ
Лечение людей, у которых диагностирован рак, не заканчивается после завершения активной терапии. Ваши врачи будут продолжать проверять, не произошел ли рецидив рака, контролировать всевозможные побочные эффекты и общее состояние здоровья. Это называется последующим наблюдением.
Последующее наблюдение может включать в себя регулярные медицинские осмотры и анализы. Врачи стремятся отслеживать ваше выздоровление в последующие месяцы и годы.
Одной из целей последующего наблюдения является контроль рецидива, то есть, возобновления рака. Новообразование рецидивирует из-за того, что в организме может остаться малое количество злокачественных клеток. Со временем эти клетки могут увеличиваться до тех пор, пока они не появятся в результатах исследований или не вызовут признаки или симптомы. Во время последующего наблюдения врач, знакомый с вашей историей болезни, может предоставить вам персональную информацию о риске рецидива. Ваш врач задаст конкретные вопросы о вашем здоровье. Некоторым может потребоваться сдать анализы крови или пройти визуальную диагностику в рамках регулярного последующего наблюдения, но рекомендации по последующему наблюдению зависят от нескольких факторов, включая тип и стадию первоначально диагностированного заболевания и тип проведенного лечения.
Контроль долгосрочных и отложенных побочных эффектов
У большинства во время лечения проявляются побочные эффекты. Если неприятные последствия сохраняются после онкотерапии, они называются долгосрочными. Отложенные побочные эффекты развиваются спустя месяцы или даже годы. К долгосрочным и отсроченным последствиям могут относиться физические и эмоциональные изменения.
К распространенным проблемам после лечения относятся боль, усталость и одышка. Лечащий врач совместно с вами разработает план решения любых проблем, продолжающихся после лечения.
Пациенты, победившие НМРЛ и при этом курившие сигареты в прошлом, также имеют высокий риск развития сердечных заболеваний, инсульта, эмфиземы и хронического бронхита. Определенные методы лечения рака могут еще больше увеличить эти риски. Даже для тех, кто не курит, выбор здорового образа жизни после болезни важен для общего самочувствия.
Ведение собственных медицинских записей
Вам с доктором предстоит совместно разработать индивидуальный план последующего наблюдения. Обязательно обсудите любые ваши опасения по поводу вашего будущего физического или эмоционального здоровья.
СТАДИИ НМРЛ
Стадия – это определение того, где расположен рак, распространен ли он, и куда, а также его влияние на другие части тела.
Врачи используют диагностические тесты для определения стадии рака; им может потребоваться информация, основанная на образцах ткани, полученных при операции, поэтому определение стадии может продолжаться до проведения всех исследований. Информация о стадии помогает врачу определить, какое лечение является оптимальным, и спрогнозировать возможность выздоровления. Для разных типов онкопроцесса существует разное описание стадий.
В целом, чем ниже порядковый номер стадии НМРЛ, тем лучше результат. Однако ни один врач не может предсказать, как долго пациент будет жить с раком легких, основываясь только на стадии заболевания. Это связано с тем, что заболевание протекает по-разному, а лечение действует на каждую опухоль индивидуально.
Классификация стадий рака
Определение стадии НМРЛ основано на сочетании нескольких факторов, в том числе:
- Размер и расположение опухоли
- Распространилась ли опухоль на лимфатические узлы и/или другие части тела.
Существует 5 стадий НМРЛ: стадия 0 (ноль) и стадии с I по IV (с 1 по 4). Один из способов определения стадии НМРЛ состоит в том, чтобы выяснить, может ли хирург полностью удалить рак. Для полного устранения опухоли необходимо ее иссечь вместе с окружающей здоровой тканью.
Стадия 0
Это называется заболеванием in situ, что означает, что рак «на месте»; не перерос в соседние ткани и не распространился за пределы легкого.
Стадия I
Рак легких I стадии — это небольшая опухоль, которая не метастазировала в лимфатические узлы, что позволяет хирургу полностью удалить ее. Стадия I делится на 2 подстадии в зависимости от размера опухоли:
- Опухоли стадии IA не превышают 3 см. Опухоли стадии IA делятся на IA1, IA2 или IA3 в зависимости от размера опухоли.
- Опухоли стадии IB 3-4 см.
Стадия II
Стадия II рака легких делится на 2 подстадии:
- Рак стадии IIA представляет собой опухоль размером 4-5 см, без метастатического распространения.
- Рак легких стадии IIB представляет собой опухоль ( 5 см и более), которая распространилась в лимфатические узлы. Рак стадии IIB – онкопроцесс, метастазировавший в лимфатические узлы. Иногда опухоли II стадии можно удалить хирургическим путем; в других случаях требуется проведение большего количества процедур.
Стадия III
Рак легких III стадии делится на стадии IIIA, IIIB или IIIC. Определение стадии основано на размере опухоли и том, в какие лимфоузлы распространился рак. Данный тип онкологии не метастазирует в другие отдаленные части тела.
Во большинстве случаев на стадии IIIA и почти всегда на стадии IIIB опухоль трудно, а иногда невозможно удалить хирургическим путем.
Стадия IV
Стадия IV означает, что онкопроцесс метастазировал в более чем 1 область в другом легком, жидкость, окружающую легкое или сердце, или отдаленные части тела посредством кровотока. Как только опухолевые клетки попадают в кровь, рак может распространиться в любую часть тела. НМРЛ чаще метастазирует в мозг, кости, печень и надпочечники. Стадия IV НМРЛ делится на 2 подстадии:
- Рак стадии IVA — распространился в грудную клетку и/или в 1 область за пределами грудной клетки.
- Рак стадии IVB — распространился за пределы грудной клетки в более чем 1 место в 1 органе или более чем в 1 органе.
В целом, хирургическое вмешательство не является успешным в большинстве случаев III или IV стадии. Новообразование также невозможно удалить, если оно метастазировало в лимфатические узлы над ключицей или вросло в жизненно важные органы в грудной клетке (сердце, крупные кровеносные сосуды или главные трахеи, ведущие к легким). В этих ситуациях врач порекомендует другие варианты лечения.
Рецидив НМРЛ
Рецидив рака – это возвращение болезни после лечения. В случае рецидива определить степень заболевания помогут дополнительные методы исследования. Эти обследования обычно такие же, как и при постановке первоначального диагноза.
Прогнозы
Несмотря на то, что НМРЛ поддается лечению на любой стадии, на некоторых стадиях возможно вылечить только немногих пациентов.
Врачи измеряют общие силы и здоровье пациента, используя показатель общего состояния. Пациенты, у которых достаточно сил, чтобы заниматься повседневной деятельностью без посторонней помощи и работать вне дома, могут спокойно получать химиотерапию, лучевую терапию и/или хирургическое вмешательство. Лечение может быть не столь эффективным для пациентов с метастазами в кости или печень, с чрезмерной потерей веса, продолжающих курить или имеющих хронические заболевания, такими как сердечная недостаточность или эмфизема.
Возраст пациента никогда не должен использоваться в качестве единственной причины для метода лечения, особенно для пожилых пациентов, которые в остальном находятся в хорошей физической форме и не имеют никаких медицинских проблем, кроме основного заболевания.
Записаться на консультацию
Оставьте свой телефон, и наш оператор свяжется с вами для записи к врачу.
Лечение в Hadassah Moscow пациентов из Москвы, регионов и стран СНГСИМПТОМЫ НЕМЕЛКОКЛЕТОЧНОГО РАКА ЛЕГКИХ
Иногда пациенты с НМРЛ не замечают никаких изменений в самочувствии. Пациенты с НМРЛ могут испытывать следующие симптомы;
- усталость
- кашель
- одышка
- боль в груди, если опухоль распространяется на слизистую оболочку или другие части тела вблизи легких
- потеря аппетита
- откашливание мокроты или слизи
- кровь при кашле
- необъяснимая потеря веса
- хрипота
Во многих случаях причиной жалоб могут быть неонкологические состояния. Если вас беспокоят какие-либо изменения в организме, обратитесь к своему врачу. Он, среди прочего, спросит, как долго и как часто вы испытываете симптом (симптомы). Этот разговор поможет определить причину проблемы, установив правильный диагноз.

У пациентов с НМРЛ, не имеющих никаких симптомов, рак может быть замечен на рентгенограмме грудной клетки или компьютерной томографии, выполненной по любой другой причине, например, при проверке сердца. У большинства людей НМРЛ диагностируется, когда опухоль растет, занимает место или вызывает дискомфорт органам, находящимися вблизи легких. Новообразование может выделять жидкость, скапливающуюся в легком или пространстве вокруг него и провоцирующую коллапс легкого. Это предотвращает попадание кислорода в организм и выход углекислого газа из организма, блокируя поток воздуха в легкие и занимая пространство, обычно необходимое для поступления кислорода и выхода углекислого газа из легких.
НМРЛ может распространяться в любом месте тела посредством процесса, называемого метастазированием. Чаще всего он распространяется на лимфатические узлы, кости, мозг, печень и структуры возле почек, называемые надпочечниками. Метастазы НМРЛ могут вызвать:
- дополнительные затруднения дыхания;
- боль в костях;
- боль в животе или спине;
- головную боль;
- слабость;
- судороги;
- затруднения речи;
- изредка опухоль легкого может выделять гормоны, вызывающие такие проблемы, как низкий уровень натрия в крови или высокий уровень кальция в крови.
Если диагностирован рак, облегчение симптомов остается важной частью онкологической помощи. Это является паллиативной или поддерживающей терапией. Она часто начинается вскоре после постановки диагноза и продолжается в течение всего лечения.
МЕТОДЫ ЛЕЧЕНИЯ НЕМЕЛКОКЛЕТОЧНОЙ ОНКОЛОГИИ ЛЕГКИХ
«Стандарт оказания медицинской помощи» означает лучшие из известных методов лечения. При принятии решения о плане лечения вам рекомендуется в качестве варианта рассмотреть клинические исследования. Данный вид исследований помогает проанализировать новый подход к лечению. Он является вариантом онкопомощи на всех стадиях рака. Клинические исследования могут проверять новое лекарство, новую комбинацию стандартных методов лечения или новые дозы стандартных препаратов, других методов лечения.
Обзор лечения
При лечении рака разные врачи часто работают вместе над составлением объединяющего плана лечения пациента. Это называется междисциплинарной командой. Команды онкологической помощи включают различных других медицинских работников, таких как ассистенты врачей, онкологические медсестры, социальные работники, консультанты, диетологи и другие специалисты.
Есть 5 основных способов лечения НМРЛ:
- Хирургическое вмешательство
- Лучевая терапия
- Химиотерапия
- Таргетная терапия
- Иммунотерапия
Адъювантная терапия
Адъювантная терапия — это лечение, которое проводится после хирургического вмешательства. Оно предназначено для удаления опухолевых клеток, которые могут оставаться в организме после операции. Это помогает снизить риск рецидива.
Адъювантная терапия НМРЛ включает лучевую терапию и системную терапию, в частности, химиотерапию, таргетную терапию и иммунотерапию.
Лучевая терапия
Лучевая терапия (радиотерапия) — это применение высокоэнергетического рентгеновского излучения или других частиц для разрушения раковых клеток. Врач, специализирующийся на проведении лучевой терапии, называется онкологом-радиологом. Наиболее распространенный тип радиотерапии называется наружной дистанционной, представляющей собой излучение, исходящее из аппарата вне тела. Режим, или схема, лучевой терапии состоит из определенного количества процедур, проводимых в течение некоторого периода времени. Она может составлять от нескольких дней до нескольких недель.
Как и хирургическое вмешательство, радиотерапия не может применяться для лечения распространенного рака. Она уничтожает только раковые клетки непосредственно на пути луча излучения, также повреждая здоровые клетки на своем пути. По этой причине ее нельзя использовать для лечения больших участков тела.
Иногда для точного планирования направления излучения используется компьютерная томография, чтобы снизить риск повреждения здоровых частей тела. Это называется лучевой терапией с модуляцией интенсивности (IMRT) или стереотаксической радиотерапией (SBRT). Такой вариант подходит не для всем, но может применяться у пациентов с ранней стадией заболевания и небольшими опухолями, когда операция невозможна.
Побочные эффекты лучевой терапии
Люди с раком легких, получающие лучевую терапию, часто испытывают усталость и потерю аппетита. Если излучение направлено на шею или центр груди, побочные эффекты могут включать боль в горле и затрудненное глотание. Пациенты могут также заметить раздражение кожи, похожее на солнечный ожог, в том месте, на которое был направлен луч. Большинство побочных эффектов исчезают вскоре после окончания лечения.
Если лучевая терапия влияет на легкие, у пациентов развивается кашель, повышенная температура или одышка спустя месяцы, а иногда и годы после окончания радиотерапии. Примерно у 15% пациентов развивается данное состояние (лучевой пневмонит). При слабой степени он не нуждается в лечении и проходит сам по себе. При выраженном пневмоните пациенту потребуется лечение стероидными препаратами (преднизолон). Лучевая терапия может также вызвать устойчивое рубцевание легочной ткани вблизи места первичной опухоли. Рубцевание обычно не вызывает симптомов, однако большие рубцы могут вызывать постоянный кашель и одышку. По этой причине онкологи-радиологи тщательно планируют лечение с помощью компьютерной томографии грудной клетки, чтобы уменьшить объём здоровой ткани легких, подвергшейся облучению.
Хирургическое вмешательство
Хирург-онколог — это врач, который специализируется на лечении онкологии хирургическими методами. Торакальный хирург специально обучен выполнять операции по лечению рака легких. Целью операции является полное удаление опухоли легкого и близлежащих лимфатических узлов в грудной клетке. Опухоль удаляется вместе с окружающей здоровой тканью. «Отрицательный край» означает, что, когда гистолог исследовал легкое или кусок легкого, удаленный хирургом, в здоровой ткани, окружающей опухоль, не было обнаружено рака.
При НМРЛ могут применяться следующие виды хирургического вмешательства:
- Лобэктомия. Легкие состоят из 5 долей, 3 в правом легком и 2 в левом легком. Лобэктомия — это удаление всей доли легкого. В настоящее время этот метод считается наиболее эффективным, даже когда опухоль очень мала.
- Клиновидная резекция. Если хирург не может удалить целую долю, можно удалить опухоль, окруженную краем здорового легкого.
- Сегментэктомия. Это еще один способ удаления новообразования, когда невозможно удалить целую долю. При сегментэктомии хирург удаляет часть легкого, в которой развился рак.
- Пневмонэктомия. Если опухоль находится близко к центру грудной клетки, хирургу, возможно, придется удалить весь орган.
Таргетная терапия
Таргетная терапия — это лечение, направленное на специфические гены, белки или тканевую среду рака, способствующую росту и выживанию опухоли. Этот тип лечения блокирует рост и распространение раковых клеток, одновременно ограничивая повреждение здоровых клеток.
Не все опухоли имеют одинаковые мишени. Чтобы найти наиболее эффективное лечение, ваш врач может провести анализы для определения генов, белков и других факторов опухоли. Это помогает врачам, по возможности, подбирать для каждого пациента наиболее эффективное лечение.
Таргетная терапия НМРЛ включает в себя:
- Антиангиогенная терапия. Направлена на остановку ангиогенеза, то есть, процесса создания новых кровеносных сосудов. Для роста и распространения опухоли нужны питательные вещества, поставляемые по кровеносным сосудам, поэтому целью терапии является «истощение» опухоли.
- Ингибиторы рецептора эпидермального фактора роста (EGFR). Исследования показали, что препараты, блокирующие EGFR, могут быть способствовать остановке или замедлению роста рака легких.
- Препараты, нацеленные на другие генетические изменения. Исследования показали, что направленное воздействие на другие генетические изменения в опухолях легких может помочь остановить или замедлить рост НМРЛ.
Медикаментозная терапия
Системная терапия — это использование медицинских препаратов для уничтожения раковых клеток. Такие препараты вводятся через кровоток, чтобы достичь злокачественные клетки по всему организму. Системная терапия обычно назначается химиотерапевтом, специализирующимся на лечении онкологии с помощью лекарственных средств.
Обычные способы системного лечения включают установку внутривенного (ВВ) катетера в вену с помощью иглы или проглатывание (пероральный прием) таблеток или капсул.
При НМРЛ используются следующие виды системной терапии:
- Химиотерапия
- Таргетная терапия
- Иммунотерапия
Каждый из этих видов более подробно описан ниже. Человек может получать 1 вид системной терапии или комбинацию нескольких видов одновременно. Они также могут быть частью плана лечения, включающего хирургическую и/или лучевую терапию.
Препараты, используемые для лечен6ия рака, постоянно оцениваются. Лучшим способом получить информацию о назначенных вам препаратах, их назначении и возможных побочных эффектах или взаимодействии с другими препаратами является беседа с врачом.
Химиотерапия
Химиотерапия – это применение препаратов, разрушающих раковые клетки, не позволяя им расти, делиться и производить новые клетки. Доказано, что она улучшает продолжительность и качество жизни людей с раком легких на всех стадиях.
Режим или схема химиотерапии, как правило, состоит из определенного количества циклов, проводимых в течение некоторого времени. Лекарства, используемые при химиотерапии, зависят от вида опухоли: аденокарциномы или плоскоклеточного рака.
Как правило, для лечения рака легких используются 2 или 3 препарата, вводимых вместе, или 1 препарат, вводимый отдельно.
Химиотерапия может также повреждать здоровые клетки организма, в том числе клетки крови, кожи и нервные клетки. Побочные эффекты лечения зависят от индивидуальной переносимости и применяемой дозы и в большинстве случаев включают усталость, снижение количества эритроцитов, риск инфекции, язвы во рту, тошноту и рвоту, потерю аппетита, диарею, онемение и покалывание в руках и ногах и выпадение волос. Ваш химиотерапевт может назначить лекарства для устранения многих негативных последствий проводимого лечения.
Иммунотерапия
Иммунотерапия, также называемая биологической терапией, предназначена для повышения естественной защиты организма от рака. В ней используются вещества, вырабатываемые организмом или произведенные в лаборатории для улучшения, направления или восстановления функции иммунной системы.
Для большинства пациентов на поздних стадиях НМРЛ, которым не подходит таргетная терапия (см. выше), иммунотерапия или ее сочетание с химиотерапией часто являются предпочтительным первичным лечением.
Разные виды иммунотерапии могут вызывать разные побочные эффекты. Например, кожные реакции, гриппоподобные симптомы, диарею и изменение веса.
Физические, эмоциональные и социальные последствия рака
Рак и его лечение провоцируют не только побочную симптоматику, но и эмоциональные, социальные, финансовые последствия. Управление всеми этими эффектами называется паллиативной, или поддерживающей терапией.
Паллиативная помощь направлена на улучшение вашего самочувствия во время лечения путем контроля симптомов и поддержки немедицинских потребностей пациентов и их семей. Любой человек, независимо от возраста, типа и стадии рака, может получать такую помощь. Она является наиболее эффективной, если ее начать сразу же после диагностики рака. Паллиативное лечение очень разнообразно и часто включает медикаментозное лечение, изменение в питании, методы релаксации, эмоциональную и духовную поддержку и другие методы лечения. В некоторых случаях паллиативными методами считаются химиотерапия, хирургическое вмешательство или лучевая терапия.
Для облегчения симптомов НМРЛ подходят следующие виды лечения:
- Опухоль в грудной клетке, которая кровоточит или блокирует дыхательные пути, может быть уменьшена с помощью радиотерапии.
- С помощью бронхоскопии можно открыть дыхательные пути, заблокированные опухолью, для облегчения дыхания.
- Хирург может установить стент, чтобы поддерживать в открытом состоянии дыхательные пути, или с помощью лазера выжигать опухоль.
- Для лечения раковых болей используются специальные препараты. В большинстве больниц и онкологических центров есть специалисты по борьбе с болью, обеспечивающие обезболивание даже при выраженных болях.
- Для остановки кашля, открытия дыхательных путей или уменьшения бронхиального секрета могут быть использованы специальные препараты.
- Преднизон или метилпреднизолон уменьшают воспаление, вызванное раком легких или радиотерапией, и облегчить дыхание.
- Дополнительная подача кислорода из небольших переносных резервуаров может помочь компенсировать дыхательную недостаточность.
- Существуют препараты для укрепления костей, уменьшения болей и предотвращения будущих метастазов в костях.
- Стимуляторы аппетита и пищевые добавки могут улучшить аппетит и уменьшить потерю веса.
Лечение НМРЛ на разных стадиях
Стадия I и II НМРЛ
Обобщенно говоря, I и II стадии НМРЛ лечат хирургическим путем. Перед и после операции пациенту могут потребоваться встречи с химиотерапевтом. Курс лечения может назначаться перед хирургическим вмешательством, это называется неоадъювантной, или индукционной, химиотерапией. Также она может назначаться после операции для снижения вероятности рецидива рака, это называется адъювантной химиотерапией.
Стадия III НМРЛ
Ежегодно более чем у 30 000 человек диагностируют НМРЛ III стадии, и не существует единого оптимального лечения для всех этих пациентов. Варианты лечения зависят от размера и расположения опухоли и пораженных лимфатических узлов. Существуют следующие варианты:
- Лучевая терапия
- Химиотерапия
- Иммунотерапия
- Хирургическое вмешательство
В целом, люди с III стадией НМРЛ получают 3 разных вида лечения. Комбинация химиотерапии и лучевой терапии с последующей иммунотерапией обычно рекомендуется для неоперабельного НМРЛ. Химиотерапия и радиотерапия могут проводиться совместно, это называется одновременной химиолучевой терапией. Или они могут назначаться последовательно (последовательная химиолучевая терапия).
Хирургическое вмешательство может подойти после начальной химиотерапии или химиотерапии с лучевой терапией. Иногда хирургическое вмешательство может быть первым вариантом лечения, особенно когда рак неожиданно обнаруживается в лимфатических узлах после того, как у человека первоначально был диагностирован рак I или II стадии. В таком случае операция обычно сопровождается химиотерапией и часто радиотерапией.
Метастатическая стадия, или стадия IV НМРЛ
Если рак распространяется в другую часть тела, за пределы органа, в котором он возник, врачи называют это метастатическим раком. У врачей существуют разные взгляды на оптимальный стандартный план лечения. В качества варианта лечения можно также рассмотреть клинические исследования. Пациентам с НМРЛ IV стадии обычно не назначается хирургическое вмешательство или лучевая терапия в качестве основного лечения. Большинство из них получают системную терапию, такую как химиотерапия, таргетная терапия или иммунотерапия. Паллиативная терапия также будет важна для облегчения симптомов и побочных эффектов.
Системная терапия метастатического НМРЛ, или НМРЛ IV стадии
Целью системной терапии является уменьшение размера раковой опухоли, снятие дискомфорта, вызванного раком, предотвращению дальнейшего распространения онкологии и продление жизни пациента. Эти методы лечения иногда могут привести к исчезновению метастатического рака легких. Лечение часто продолжается до тех пор, пока оно контролирует рост опухоли. Доказано, что системная терапия и паллиативная помощь улучшают как продолжительность, так и качество жизни пациентов с НМРЛ IV стадии. Первое лекарство или комбинация лекарств, которые пациент принимает, называется лечением «первой линии», за которым может следовать лечение «второй линии» и «третьей линии». Никакое конкретное лечение или комбинация процедур не работает одинаково. Если лечение первой линии вызывает или слишком многочисленные, или опасные побочные эффекты, не работает или перестает работать, врач может порекомендовать изменить лечение.

Лучевая терапия при метастазах в мозг
Химиотерапия часто менее эффективна, чем лучевая терапия или хирургическое лечение НМРЛ, распространившегося на мозг. Данный вид опухоли обычно лечится с помощью радиотерапии, хирургического вмешательства или обоих методов. Это может вызвать такие неприятные последствия, как выпадение волос, усталость и покраснение кожи головы. При небольшом очаге разновидность лучевой терапии, называемая стереотаксической радиохирургией, может сфокусировать излучение только на опухоли головного мозга и уменьшить побочные эффекты.
Паллиативная терапия
Лучевая терапия или хирургическое лечение могут быть использованы для лечения метастазов, вызывающих боль или другие симптомы. Метастазы, ослабляющие крупные кости, можно лечить хирургическим путем, а кости можно укреплять с помощью металлических имплантатов.
Ремиссия и возможность рецидива
Ремиссия – это состояние, при котором в организме невозможно обнаружить рак, и его симптомы также отсутствуют. Ремиссия бывает временной или постоянной. Эта неопределенность вызывает у многих беспокойство по поводу возможного возвращения заболевания. Ключевой целью последующего наблюдения является контроль наступления рецидива и устранение возможных поздних эффектов лечения.
Если рак возвращается после первичного лечения, он называется рецидивирующим. Он может повторно проявиться в том же месте (местный рецидив), рядом (регионарный рецидив) или в другом месте (отдаленный рецидив). Чаще всего рецидив возникает на IV стадии.
При наступлении рецидива необходимо провести новую серию анализов, чтобы как можно больше узнать о нем. Лечащий врач может предложить вам участие в клинических исследованиях, изучающих новые способы лечения
Если лечение не помогает
Иногда рак неизлечим. Если заболевание нельзя вылечить или контролировать, оно называется прогрессирующим или терминальным.
Этот диагноз – большой стресс, и многим очень трудно его обсуждать. Тем не менее, важно открыто и честно разговаривать с медиками , объясняя свои чувства, предпочтения и страхи. Медицинская команда обладает специальными навыками, опытом и знаниями для поддержки пациентов и их семей и всегда готова прийти на помощь. Чрезвычайно важно обеспечить человеку физический комфорт, свободу от боли и эмоциональную поддержку.