Горнастолев Дмитрий Игоревич
Заместитель главы филиала по инновациям. Главный специалист по онкологии Hadassah и группы компаний Медскан , Врач – онколог
Рак мочевого пузыря (РМП) – онкологическое заболевание, развивающееся из клеток слизистой оболочки полого мышечного органа мочевыделительной системы.
Является седьмым по частоте диагностики злокачественных образований у мужчин и в мировом масштабе коэффициент заболеваемости (на 100 000 человек/год) составляет 9,5 у мужчин и 2,4 у женщин.
Активное и пассивное курение является основным фактором риска ЗНО (злокачественных новообразований) мочевого пузыря и составляет около 50% случаев. Профессиональное воздействие ароматических аминов, полициклических ароматических углеводородов и хлорированных углеводородов является вторым по важности фактором риска для РМП и составляет около 10% всех случаев. Такой вид профессионального воздействия в основном происходит на промышленных предприятиях, занимающихся обработкой красок, красителей, металла и нефтепродуктов.
Семейная история РМП на сегодняшний день имеет малое влияние. На сегодняшний день не было установлено никаких клинически значимых генетических изменений, связанных с РМП. Генетическая предрасположенность может привести к более высокой восприимчивости к другим факторам риска, и тем самым объяснить семейное скопление РМП у родственников первого и второго порядка. В настоящее время недостаточно доказательств для поддержки генетического скрининга РМП.
Похоже, что пищевые привычки имеют ограниченное влияние на риск развития РМП. Средиземноморская диета, характеризующаяся высоким потреблением овощей и ненасыщенных жиров (оливковое масло) с умеренным потреблением белка, была связана с некоторым снижением риска РМП. Было показано, что западная диета (богатая насыщенными жирами) и органическое мясо увеличивают риск РМП согласно проведенному мета-анализу. Потребление фруктов может снизить риск РМП.
Прием (осмотр, консультация) врача-уролога первичный
B01.053.001
10 000 ₽
Прием (осмотр, консультация) врача-уролога повторный
B01.053.002
8 500 ₽
Прием (осмотр, консультация) врача-уролога, кандидата медицинских наук, первичный
B01.053.001.001
13 000 ₽
Прием (осмотр, консультация) врача-уролога, кандидата медицинских наук, повторный
B01.053.002.001
11 000 ₽
Прием (осмотр, консультация) врача-уролога, доктора медицинских наук, первичный
B01.053.001.002
16 000 ₽
Прием (осмотр, консультация) врача-уролога, доктора медицинских наук, повторный
B01.053.002.002
14 000 ₽
Прием (осмотр консультация) иностранного врача-уролога
B01.053.001.150
60 000 ₽
Прием (осмотр, консультация) врача-уролога-андролога, профессора
B01.053.001.052
16 000 ₽
Удаленная консультация врача-уролога
B01.053.001.021
8 500 ₽
Удаленная консультация врача-уролога, кандидата медицинских наук
B01.053.001.023
11 000 ₽
Удаленная консультация врача-уролога, доктора медицинских наук
B01.053.001.025
14 000 ₽
Удаленная консультация израильского врача-уролога, заведующего отделением
B01.053.001.100
150 000 ₽
Удаленная консультация израильского врача-уролога
B01.053.001.103
75 000 ₽
Удаленная консультация израильского врача-уролога, ведущего специалиста
B01.053.001.101
100 000 ₽
Удаленная консультация израильского врача-уролога, профессора
B01.053.001.102
200 000 ₽
Получение соскоба из уретры
A11.28.006.001
1 600 ₽
Измерение скорости потока мочи (урофлоуметрия)
A12.28.006
8 700 ₽
Массаж простаты
A21.21.001
3 800 ₽
Сбор секрета простаты
A11.21.004
2 700 ₽
Катетеризация мочевого пузыря у женщин
A11.28.007.001
9 700 ₽
Катетеризация мочевого пузыря у мужчин
A11.28.007.002
11 820 ₽
Коагуляция (высокочастотной радиоволной) кондиломы кожи или слизистой наружных половых органов диаметром до 0,5 см (один очаг)
A16.01.017.054
4 400 ₽
Удаление мочеточникового стента
A11.28.015.001.001
49 700 ₽
Катетеризация уретры, мочевого пузыря
A16.28.023.001
7 400 ₽
Бужирование уретры
A16.28.040
9 000 ₽
Инстилляция в мочевой пузырь вакцины БЦЖ
A11.28.008.003
16 800 ₽
Установка меток в простату под контролем ультразвукового исследования
A16.30.105
132 900 ₽
Пункция гидроцеле под контролем ультразвукового исследования
A11.21.014.002
25 500 ₽
Интракавернозная инъекция вазоактивного препарата (без стоимости лекарственного препарата)
A11.21.015.002
4 600 ₽
Инстилляция мочевого пузыря, уретры (без учета стоимости лекарственного препарата)
A11.28.008.001
10 700 ₽
Биопсия яичка одностороння методом Md-TESE
A11.21.012.052
202 200 ₽
Внутридетрузорное введение ботулинического токсина
A03.28.001.054
58 300 ₽
Парауретральное введение лекарственных препаратов
A11.28.013
58 300 ₽
Промежностная биопсия предстательной железы
A11.21.005.053
220 500 ₽
Биопсия яичка
A11.21.012
385 900 ₽
Уретероскопия с дополнительной манипуляцией (биопсия, коагуляция, баллонная дилатация)
A03.28.003.002
279 300 ₽
Прием (осмотр, консультация) врача-уролога с выездом на дом в пределах 10 км от Инновационного центра "Сколково"
B01.053.001.065.001
26 600 ₽
Прием (осмотр, консультация) врача-уролога с выездом на дом в пределах 20 км от Инновационного центра "Сколково"
B01.053.061.002
32 500 ₽
Прием (осмотр, консультация) врача-уролога с выездом на дом в пределах 30 км от Инновационного центра "Сколково"
B01.053.061.003
41 000 ₽
Прием (осмотр, консультация) врача-уролога с выездом на дом в пределах 40 км от Инновационного центра "Сколково"
B01.053.061.004
47 000 ₽
Замена нефростомического дренажа
A16.28.052.001
120 800 ₽
Цистоскопия
A03.28.001
24 900 ₽
Цистоскопия с проведением биопсии (1 категория сложности)
A03.28.001.050
15 000 ₽
Цистоскопия с проведением биопсии (2 категория сложности)
A03.28.001.051
24 900 ₽
Фиброцистоскопия
A03.28.001.052
40 000 ₽
Трансректальная биопсия простаты под общей анестезией
A11.21.005.050
87 800 ₽
Фьюжн биопсия предстательной железы
A11.21.005.050.001
221 800 ₽
Биопсия (мультифокальная) предстательной железы трансректальная пункционная (1 категория сложности)
A11.21.005.003.001
20 000 ₽
Биопсия (мультифокальная) предстательной железы трансректальная пункционная (2 категория сложности)
A11.21.005.003.002
26 500 ₽
Биопсия (мультифокальная) предстательной железы трансректальная пункционная (3 категория сложности)
A11.21.005.003.003
33 100 ₽
Удаление множественных кондилом кожи или слизистой наружных половых органов в условиях операционной
A16.01.017.055
24 300 ₽
Пункция и дренирование кисты почки (до 4 см) под ультразвуковым или рентгенологическим контролем со склерозирующей терапией, 1 категория сложности
A16.28.089.001
216 900 ₽
Пункция и дренирование кисты почки (более 4 см или при множественных поражениях) под ультразвуковым или рентгенологическим контролем со склерозирующей терапией, 2 категория сложности
A16.28.089.002
448 400 ₽
Пункционная цистостомия под контролем ультразвукового исследования
A16.28.072.050
105 000 ₽
Односторонняя орхиэктомия
A16.21.010.050
28 900 ₽
Иссечение кисты придатка яичка
A16.21.037.001
57 800 ₽
Пластика оболочек яичка
A16.21.025
69 300 ₽
Удаление придатка яичка
A16.21.023
57 800 ₽
Операция Мармара
A16.28.045.050
173 300 ₽
Радикальная позадилонная простатэктомия открытая
A16.21.006.003.001
346 500 ₽
Внутренняя оптическая уретротомия
A16.28.060.001
138 600 ₽
Цистоуретеропластика (операция Боари)
A16.28.081
242 600 ₽
Гидробужирование мочевого пузыря
A11.28.008.014
227 900 ₽
Лапароскопическая резекция мочевого пузыря
A16.28.029.001
369 600 ₽
Имплантэктомия с протезированием однокомпонентным протезом
A16.30.026.001
135 200 ₽
Имплантэктомия с протезированием трехкомпонентным протезом
A16.30.026.002
192 900 ₽
Имплантэктомия протеза яичка
A16.30.026.003
132 900 ₽
Лоскутная корпоропластика с использованием искусственных материалов
A16.21.014.002.001
385 800 ₽
Уретральная меатотомия
A16.28.037
76 300 ₽
Микрохирургическая варикоцелэктомия
A16.28.045.051
173 300 ₽
Микрохирургическая денервация полового члена
A16.21.100
231 000 ₽
Микрохирургический вазовазо/вазоэпидидимонастамоз
A16.21.021.001
385 800 ₽
Обрезание крайней плоти (для лиц до 18 лет)
A16.21.013.001
52 700 ₽
Обрезание крайней плоти (для лиц от 18 лет)
A16.21.013.002
86 700 ₽
Операция несбита
A16.21.035.001
241 400 ₽
Операция Сапожкова-Райха, 1 этап
A16.21.043.001
231 000 ₽
Операция Сапожкова-Райха, 2 этап
A16.21.043.002
231 000 ₽
Орхопексия
A16.21.018.001
138 600 ₽
Орхофуникулэктомия
A16.21.010.001
241 500 ₽
Пластика уздечки крайней плоти
A16.21.038
64 700 ₽
Протезирование яичка
A16.21.016
154 800 ₽
Резекция тыльной вены полового члена
A16.12.058.001
164 100 ₽
Увеличение длины полового члена (лигаментотомия)
A16.21.014.050
190 600 ₽
Удаление гидроцеле
A16.21.024.001
154 800 ₽
Фаллопластика с протезированием однокомпонентным протезом
A16.21.019.001
328 100 ₽
Фаллопластика с протезированием трехкомпонентным протезом
A16.21.019.002
519 800 ₽
Трансуретральная резекция простаты (1 категория сложности)
A16.21.002.050
369 600 ₽
Трансуретральная резекция простаты (2 категория сложности)
A16.21.002.051
462 000 ₽
Трансуретральная резекция простаты (3 категория сложности)
A16.21.002.050.003
600 000 ₽
Лапароскопическая радикальная простатэктомия, 1 категория сложности
A16.21.006.003.002
525 000 ₽
Лапароскопическая радикальная простатэктомия с тазовой лимфаденэктомией, 2 категория сложности
A16.21.006.003.003
735 000 ₽
Лапароскопическая радикальная простатэктомия с расширенной тазовой лимфаденэктомией, 3 категория сложности
A16.21.006.003.004
840 000 ₽
Трансуретральная резекция мочевого пузыря (1 категория сложности)
A16.28.026.050
259 900 ₽
Трансуретральная резекция мочевого пузыря (2 категория сложности)
A16.28.026.051
346 500 ₽
Трансуретральная резекция мочевого пузыря (3 категория сложности)
A16.28.026.052
421 600 ₽
Открытая резекция мочевого пузыря, 1 категория сложности
A16.28.029.051.001
1 050 000 ₽
Открытая резекция мочевого пузыря, 2 категория сложности
A16.28.029.051.002
2 100 000 ₽
Открытая цистэктомия (1 категория сложности)
A16.07.016.001
496 700 ₽
Открытая цистэктомия (2 категория сложности)
A16.07.016.002
693 000 ₽
Открытая цистэктомия (3 категория сложности)
A16.07.016.003
924 000 ₽
Операция Брикера (уретероилеумкондуит), 1 категория сложности
A16.28.030.050
462 000 ₽
Операция Брикера (уретероилеумкондуит), 2 категория сложности
A16.28.030.051
693 000 ₽
Операция Брикера (уретероилеумкондуит), 3 категория сложности
A16.28.030.052
924 000 ₽
Операция Брикера (уретероилеумкондуит), 4 категория сложности
A16.28.030.053
1 155 000 ₽
Операция Штудера (формирование ортотопического мочевого пузыря, 1 категория сложности)
A16.28.030.003.001
462 000 ₽
Операция Штудера (формирование ортотопического мочевого пузыря, 2 категория сложности)
A16.28.030.003.002
693 000 ₽
Операция Штудера (формирование ортотопического мочевого пузыря, 3 категория сложности)
A16.28.030.003.003
924 000 ₽
Операция Штудера (формирование ортотопического мочевого пузыря, 4 категория сложности)
A16.28.030.003.004
1 155 000 ₽
Ретроградная пиелолитотрипсия с одноразовым эндоскопом при камнях до 2 см
A16.28.084.050
614 500 ₽
Имплантация металлического мочеточникового стента
A11.28.012.002
448 400 ₽
Стентирование мочеточника (при отсутствии анатомических изменений), 1 категории сложности
A11.28.012.001.001
247 200 ₽
Стентирование мочеточника под ультразвуковым или рентгенологическим контролем (при девиации мочеточника), 2 категория сложности
A11.28.012.001.002
301 400 ₽
Стентирование мочеточника под ультразвуковым или рентгенологическим контролем (при сдавлении мочеточника опухолью или стриктурой), 3 категория сложности
A11.28.012.001.003
371 200 ₽
Стентирование мочеточника под ультразвуковым или рентгенологическим контролем (с дополнительным бужированием, баллонной дилатацией или антеградным способом), 4 категория сложности
A11.28.012.001.004
463 100 ₽
Контактная уретеролитотрипсия при размерах камня до 5 мм
A16.28.050.050
360 400 ₽
Контактная уретеролитотрипсия при размерах камня 5-7мм
A16.28.050.051
438 900 ₽
Контактная уретеролитотрипсия при размерах камня более 7мм
A16.28.050.052
519 800 ₽
Ампутация полового члена (пенэктомия) (1 категория сложности)
A16.21.030.001
462 000 ₽
Ампутация полового члена (пенэктомия) (2 категория сложности)
A16.21.030.002
693 000 ₽
Ампутация полового члена (пенэктомия) (3 категория сложности)
A16.21.030.003
924 000 ₽
Имплантация простатического стента
A16.21.007.001
316 100 ₽
Цистолитотрипсия (при камнях до 2 см), 1 категории сложности
A16.28.017.001.001
297 700 ₽
Цистолитотрипсия (при камнях более 2 см), 2 категории сложности
A16.28.017.001.002
371 200 ₽
Трансуретральное удаление инородного тела мочевого пузыря
A16.28.013.002
294 000 ₽
Трансуретральная инцизия шейки мочевого пузыря
A16.28.026.053
302 700 ₽
Кольпосуспензия по Берчу лапароскопическая
A16.20.083.002
254 100 ₽
Транспозиция уретры у женщин
A16.28.080.001
339 600 ₽
Повторная транспозиция уретры у женщин
A16.28.080.005
456 300 ₽
Имплантация тестового электрода для сакральной нейромодуляции
A16.23.058.050.001
316 100 ₽
Имплантация постоянного электрода для сакральной нейромодуляции
A16.23.058.050.002
330 800 ₽
Дренирование единичного абсцесса почки под ультразвуковым или рентгенологическим контролем
A16.28.010.002.001
227 900 ₽
Эндоскопическая коррекция уретероцеле
A16.28.075.001.001
294 000 ₽
Трансуретральное удаление кандилом уретры
A16.28.086.001
264 600 ₽
Трансуретральная эвакуация гемотампонады мочевого пузыря
A16.21.008.002
294 000 ₽
Вазэктомия
A16.21.012
213 200 ₽
Иссечение единичных кондилом, атером и других доброкачественных новообразований кожи мошонки
A16.21.043.003
183 800 ₽
Иссечение множественных кондилом, атером и других доброкачественных новообразований кожи мошонки
A16.21.043.004
224 200 ₽
Ревизия мошонки при травмах
A16.21.009.001
301 400 ₽
Вскрытие абсцесса мошонки
A16.21.009.002
301 400 ₽
Прошивание белочной оболочки полового члена
A16.21.035
477 800 ₽
Лазерная оптическая уретротомия (непротяженной стриктуры менее 3 мм)
A16.28.060.007
261 000 ₽
Тотальная пластика тазового дна с использованием синтетического протеза
A16.20.015.008
757 100 ₽
Пластика цистоцеле с использованием синтетического протеза
A16.20.028.003.001
433 700 ₽
Пластика ректоцеле с использованием синтетического протеза
A16.20.028.002.001
433 700 ₽
Вскрытие и дренирование абсцесса простаты
A16.21.001
235 200 ₽
Иссечение карункула (выворота слизистой) женской уретры
A16.28.086.051
238 900 ₽
Дренирование множественных абсцессов почки под ультразвуковым или рентгенологическим контролем
A16.28.010.002.002
396 900 ₽
Трансуретральная контактная лазерная цистолитотрипсия
A16.28.017.001.003
315 000 ₽
Трансвагинальная фистулопластика пузырно-влагалищного свища
A16.20.027.001.001
742 400 ₽
Иссечение дивертикула уретры
A16.28.093
371 200 ₽
Имплантация искусственного сфинктера уретры
A16.28.073.001.001
668 900 ₽
Цистолитотомия
A16.28.084.051
420 000 ₽
Лапароскопическая резекция почки (R.E.N.A.L. - 4-6 баллов), 1 категория сложности
A16.28.003.001.001
367 500 ₽
Лапароскопическая резекция почки (R.E.N.A.L. - 7-9 баллов), 2 категория сложности
A16.28.003.001.002
472 500 ₽
Лапароскопическая резекция почки (R.E.N.A.L. - 9-12 баллов), 3 категория сложности
A16.28.003.001.003
577 500 ₽
Нефроуретерэктомия открытая при опухоли мочеточника, 1 категория сложности
A16.28.059.050.001
1 050 000 ₽
Нефроуретерэктомия открытая при опухоли мочеточника, 2 категория сложности
A16.28.059.050.002
2 100 000 ₽
Лапароскопическая пластика лоханочно-мочеточникового сегмента
A16.28.007.002.001
525 000 ₽
Лазерная оптическая уретротомия (стриктура более 3 мм или множественные стриктуры уретры различной локализации)
A16.28.060.008
350 000 ₽

Принципиально опухоли мочевого пузыря делятся на поверхностные, то есть мышечно-неинвазивные, и инвазивные — которые прорастают толщу стенки мочевого пузыря.
Примерно в 75% случаев встречается мышечно-неинвазивные, т.е. поверхностные опухоли.
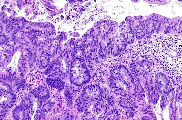
Вторым принципиальным различием поверхностных опухолей является их клеточное строение. На сегодняшний день современная онкоурология умеет прогнозировать возможное течение опухолевого процесса в зависимости от строение опухолевой клетки. Опухоль с низкой степенью злокачественности маркируется как «G1» или «low grade», а опухоль агрессивного течения, как «G3» или «high grade». Существует ещё опухоль «in situ» или карцинома in situ, т.е. стелящаяся опухоль, которая имеет агрессивный характер течения и выделяется гистологами отдельным термином.

Отдельным заболеванием, характеризующимся достаточно агрессивным течением, является инвазивный рак мочевого пузыря, подразумевающий поражение мышечного слоя стенки мочевого пузыря.
Гематурия (примесь крови в моче) – является наиболее часто встречающимся симптомом как у женщин, так и у мужчин. Было обнаружено, что визуально заметная гематурия связана с более высокой стадией заболевания по сравнению с невидимой гематурией (т.е. наличие единичных эритроцитов в общеклиническом анализе мочи). Признаки карциномы in situ (т.е. стелящейся опухоли) могут быть заподозрены у пациентов с симптомами нижних мочевых путей (частое мочеиспускание, резкие позывы к мочеиспусканию, ночные походы в туалет, недержание мочи при резких позывах).
При подозрении на рак мочевого пузыря, согласно международным протоколам, показано выполнение двух исследований: МСКТ (мультисприральной компьютерной томографии) органов брюшной полости с контрастом и цистоскопия (осмотр мочеиспускательного канала и мочевого пузыря видеокамерой).
Цистоскопия является ключевым методом диагностики рака мочевого пузыря – эндоскопический осмотр мочевого пузыря через мочеиспускательный канал. Существует принципиально два вида эндоскопов для проведения цистоскопии: ригидный цистоскоп (жесткий металлический инструмент, более подходящий для женщин, и гибкий инструмент, повторяющий сложную анатомию мужской уретры. Сегодня в клинике Hadassah в арсенале отделения урологии используются самые современные эндоскопы.
Разновидности цистосокпов:

Вид опухоли при цистоскопии:

Стандартная цистоскопия обычно выполняются при так называемом «белом» освещении. Однако, некоторые образования могут оставаться невидимыми при таком освещении, что привело к разработке новых методов визуализации опухоли.
Один из таких методов — это узкополосная визуализация (NBI). Исследования показали, что использование NBI при осмотре мочевого пузыря значительно увеличивает частоту выявления рака.
Ультразвуковое исследование (УЗИ) может быть выполнено в дополнение к основному протоколу диагностики, поскольку обладает низкой информативностью к широкому спектру патологий мочевыводящих путей, в том числе опухолей мочевого пузыря.
Мультипараметрическая магнитно-резонансная томография (МРТ) является основным методом предоперационного обследования с целью оценки степени инвазии (прорастания) опухолью стенки мочевого пузыря.

Цитологический анализ мочи или цитология, используется для диагностики отслоившихся опухолевых клеток. Суть метода заключается в том, что собранную мочу в лабораторных условиях центрифугируют, после чего врач патоморфолог под микроскопом изучает клеточный осадок.
Этот метод имеет высокую чувствительность для опухолей G3/высокой степени злокачественности (84%), но чувствительность снижается для РМП G1/низкой степени злокачественности (16%). Чувствительность этого метода при диагностике карциномы in situ может варьироваться от 28 до 100%. Цитологическое исследование может быть полезным дополнением к цистоскопии при высокой степени злокачественности или при наличии карциномы in situ. Однако отрицательный результат анализа не гарантирует отсутствие опухоли.
Цитологическое исследование мочи:

Биопсия мочевого пузыря
С целью проведения первичной диагностики (гистологической верификации) рака мочевого пузыря проводится лечебно-диагностическая манипуляция – трансуретральная резекция (ТУР) мочевого пузыря. Врач хирург, эндоскопически, через мочеиспускательный канал, в зависимости от размеров образования, полностью удаляет образование с частью стенки мочевого пузыря с целью дальнейшего стадирования опухолевого процесса и определения тактики лечения.
Трансуретральная резекция опухолей мочевого пузыря стадии Ta, T1 играет важную роль. Стратегия операции состоит в правильной диагностики и полном удалении всех видимых образований. Этот тип операции очень важен для диагностики и лечения.

После трансуретральной резекции рака мочевого пузыря стадии Та, Т1 существует высокий риск оставшихся опухолевых образований, что может негативно сказаться на онкологическом прогнозе и подчеркивает важность эффективной первичной резекции. При неполной резекции, которая может произойти при обширных опухолях или интраоперационных осложнениях, пациентам требуется вторичная резекция, поэтому критически важно документировать полноту резекции при первой операции.
Согласно международным данным, у пациентов с раком мочевого пузыря стадии Ta/высокой степени злокачественности и T1, риск оставления опухоли при первичной трансуретральной резекции составляет 51%.
Именно поэтому, при получении результатов гистологического исследования после первичной ТУР мочевого пузыря, согласно международным протоколам рекомендовано проведение повторной трансуретральной резекция с целью улучшения безрецидивной выживаемости.
В ретроспективном анализе было показано, что повторная резекция, проведенная через 14-42 дня, улучшает безрецидивную выживаемость и общую выживаемость по сравнению с ее выполнением через 43-90 дней. Исходя из этих данных, в некоторых случаях через 2-6 недель после первичной резекции рекомендуется повторная трансуретральная резекция.
Морфологическое исследование образцов, полученных после трансуретральной резекции и биопсии, является ключевым этапом в диагностике и определении стратегии лечения рака мочевого пузыря. Строго рекомендуется налаживать тесное взаимодействие между урологом и специалистом по морфологии. В клинике Hadassah самая современная патоморфологическая лаборатория, которая позволяет максимально точно провести диагностику биопсийного материала и точно поставить диагноз.
После первичного ТУР мочевого пузыря, при диагностике прорастания опухоли в мышечный слой по данным гистологического исследования, речь идёт о мышечно-инвазивном характере роста мочевого пузыря, который всегда имеет агрессивный характер и требует комплексное активное лечение. В настоящий момент существуют два способа радикального лечения: оперативное лечение, которое заключается в полном удалении мочевого пузыря, или комбинированная химио-лучевая терапия. Сегодня клиника Hadassah предлагает своим пациентам все возможные методы лечения инвазивного рака мочевого пузыря.
В современной онкологии существуют математические модели, которые были основаны и сформулированы на основе большого количества исследований и наблюдений в мире. Сегодня, на основе первичных гистологических данных, распространенности опухоли, ответа на первичную внутрипузырную химиотерапию или БЦЖ-терапию, онколог может предоставить дополнительные данные о возможном течении заболевания, в том числе прогнозы 5- и 10-летней выживаемости.»
Современная онкоурология в команде с высококвалифицированными патоморфологами, хирургами, специалистами по лучевой диагностике и химиотерапевтами способна предложить пациентам высокое качество жизни с максимальным уровнем 5- и 10-летней выживаемости. Сегодня диагноз "рак мочевого пузыря" не является приговором. При своевременной диагностике, в подавляющем большинстве случаев, мы можем говорить о полном излечении.
Рак м.п.
Babjuk, M., et al. / European Association of Urology Guidelines on Non-muscle-invasive Bladder Cancer (Ta, T1, and Carcinoma in Situ) // Eur Urol. -2022. -81(75)
Willis, D.L., et al. / Clinical outcomes of cT1 micropapillary bladder cancer // J Urol. -2015. -193(1129)
Panebianco, V., et al. / Multiparametric Magnetic Resonance Imaging for Bladder Cancer: Development of VI-RADS (Vesical Imaging-Reporting And Data System) // Eur Urol. -2018. -74(294)
Pastorello, R.G., et al. / Experience on the use of The Paris System for Reporting Urinary Cytopathology: review of the published literature // J Am Soc Cytopathol, -2021. -10(79).
Roupret, M., et al. / Reducing the Frequency of Follow-up Cystoscopy in Low-grade pTa Nonmuscle- invasive Bladder Cancer Using the ADXBLADDER Biomarker // Eur Urol Focus. -2022. -8(1643).
Valenberg, F., et al. / Validation of an mRNA-based Urine Test for the Detection of Bladder Cancer in Patients with Haematuria // Eur Urol Oncol. -2021. -4(93).
van der Aa, M.N., et al. / Cystoscopy revisited as the gold standard for detecting bladder cancer recurrence: diagnostic review bias in the randomized, prospective CEFUB trial // J Urol. -2010. -183(76).
Berajoui, M.B., et al. / A Prospective Randomized Controlled Trial of Irrigation “Bag Squeeze” to Manage Pain for Patients Undergoing Flexible Cystoscopy // J Urol. -2020. -204(1012).
Yanagisawa, T., et al. / En Bloc Resection for Bladder Tumors: An Updated Systematic Review and Meta-Analysis of Its Differential Effect on Safety, Recurrence and Histopathology // J Urol. -2022. -207(754).
Li, M., et al. / Continuous bladder irrigation after transurethral resection of non-muscle invasive bladder cancer for prevention of tumour recurrence: a systematic review // ANZ J Surg. -2021. -91(2592)