Горнастолев Дмитрий Игоревич
Заместитель главы филиала по инновациям. Главный специалист по онкологии Hadassah и группы компаний Медскан , Врач – онколог
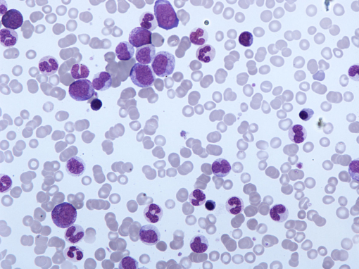
Хронические миелопролиферативные заболевания — группа злокачественных гематологических патологий, происходящих из одной мутировавшей клетки, которая является предшественницей гемопоэза. Характеризуются пролиферацией в области костного мозга.
Во всех случаях отмечается клональная эволюция процесса
и стадия бластного криза. К хроническим миелопролиферативным заболеваниям относится миелолейкоз, нейтрофильный и эозинофильный рак крови, сублейкемический миелоз, эритремия и эссенциальная тромбоцитемия.
У всех онкологических заболеваний есть общие характеристики:
● происхождение в кроветворной стволовой клетке;
● перепроизводство клеток крови без существенной дисплазии;
● в зависимости от пораженного уровня дифференциации пролиферируют один или несколько рядов кроветворных клеток;
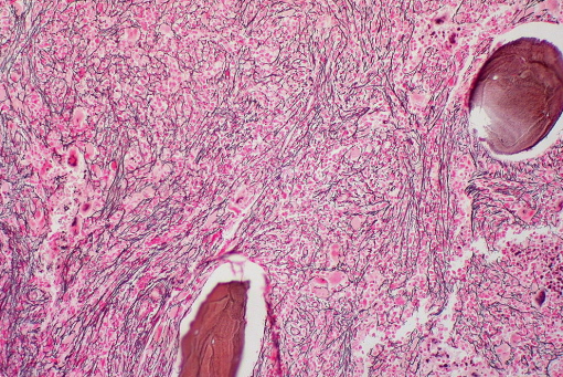
● развитие экстрамедуллярного кроветворения и миелофиброза (в разной степени);
● превращение в острый лейкоз (с разной степенью).
На начальном этапе заболевания опухолевая масса не велика. Присутствует умеренный лейкоцитоз, при котором наблюдается «сдвиг» лейкозной формулы до миелоцитов и увеличение уровня созревающих и зрелых гранулоцитов в костном мозге.

Общие симптомы ХМПЗ включают:
Течение болезни хроническое. Тяжесть заболевания увеличивается со временем (прогрессия). Возможны переходы в бластный криз, в миелодиспластический синдром, а также в острый миелолейкоз. Также наблюдается прогрессирующее увеличение селезенки (более 10 см из-под ребра).

Точные триггеры в настоящее время неизвестны. Считается, что ионизирующее излучение и химические вещества (например, бензол) способствуют возникновению ХМПЗ.
При миелопролиферативных заболеваниях возраст является важным фактором риска. С 70 лет клональное кроветворение увеличивается. В этом случае говорят о клональном кроветворении неопределенного потенциала. Риск заболеть хроническими миелопролиферативными заболеваниями с возрастом увеличивается примерно в 11-13 раз.
Дифференциация важна для терапии. Однако она затруднена на ранних стадиях болезни, и четкое назначение часто невозможно. При всех заболеваниях может затруднить дифференциальную диагностику стойкий тромбоцитоз. При сборе анамнеза следует обратить внимание на наличие вышеуказанных симптомов. В костном мозге может произойти экстрамедуллярное кроветворение. Это может проявляться как спленомегалия и/или гепатомегалия при физикальном осмотре. С помощью гематологических, молекулярно-генетических, цитологических и гистологических исследований можно добиться правильной классификации. Диагностика ХМПЗ включает:
При хроническом миелоидном лейкозе наблюдается симптоматическая, хроническая форма течения (медиана: 3-5 лет). За этим следует акселерированная фаза, переходящая в конечном итоге в бластный криз, картина которого аналогична картине острого лейкоза. Определяется периодом выживаемости от нескольких месяцев до 1 года.
При хронических миелопролиферативных неоплазиях среднее время выживания составляет при адекватном лечении около 19 лет. Без лечения, примерно 1,5 года. При этом есть риск возникновения артериальных и венозных тромбоэмболий (до 40% случаев). Поздняя стадия заболевания характеризуется снижением эритроцитов, что сопровождается соответствующими изменениями костного мозга и усилением спленомегалии.
Эффективной профилактики ХМПЗ не существует. С помощью трансплантации костного мозга удается излечить только 50-60% больных.
Лечение хронических миелопролиферативных заболеваний в клинике «Hadassah» в Москве проводится всеми видами стандартной цитостатической монохимиотерапии. Результат – уменьшение опухолевой массы до минимально возможного уровня. Для улучшения состояния пациента назначается симптоматическая терапия, включающая коррекцию сердечной недостаточности, болевого синдрома, легочной гипертензии и неврологических проявлений. Для достижения полной длительной ремиссии используются ингибиторы тирозинкиназ.
Опытные онкологи высшей категории московского филиала израильской клиники Hadassah занимаются лечением заболевания хронические миелопролиферативные заболевания не только у московских пациентов, но и жителей других регионов: Санкт-Петербурга, Нижнего Новгорода, Екатеринбурга, Краснодара, Новосибирска и других.
Sokolova M. A. Современные представления о «классических» Ph-негативных хронических миелопролиферативных заболеваниях //Клиническая онкогематология. Фундаментальные исследования и клиническая практика. – 2010. – Т. 3. – №. 3. – С. 235-242.
Цветаева Н. В. и др. Хронические миелопролиферативные заболевания и беременность //Терапевтический архив. – 2006. – Т. 78. – №. 10. – С. 68-72.
Суборцева И. Н., Меликян А. Л. Миелодиспластические/миелопролиферативные заболевания //Онкогематология. – 2016. – №. 4. – С. 8-17.
Керимов А. А. Хронические миелопролиферативные заболевания: современное состояние вопроса //Биомедицина (Баку). – 2014. – №. 3. – С. 3-8.
Мисюрин А. В. Молекулярный патогенез миелопролиферативных заболеваний //Клиническая онкогематология. Фундаментальные исследования и клиническая практика. – 2009. – Т. 2. – №. 3. – С. 211-219.
Прием (осмотр, консультация) врача-онколога первичный
B01.027.001
10 000 ₽
Прием (осмотр, консультация) врача-онколога повторный
B01.027.002
8 500 ₽
Прием (осмотр, консультация) врача-онколога, кандидата медицинских наук, первичный
B01.027.001.001
13 000 ₽
Прием (осмотр, консультация) врача-онколога, кандидата медицинских наук, повторный
B01.027.002.001
11 000 ₽
Прием (осмотр, консультация) врача-онколога, доктора медицинских наук, первичный
B01.027.001.002
16 000 ₽
Прием (осмотр, консультация) врача-онколога, доктора медицинских наук, повторный
B01.027.002.002
14 000 ₽
Прием (осмотр, консультация) врача-онколога, специалиста института онкологии (консультация с составлением плана лечения), первичный
B01.027.001.045
13 000 ₽
Прием (осмотр, консультация) врача-онколога, специалиста института онкологии (консультация с составлением плана лечения), повторный
B01.027.002.015
11 000 ₽
Прием (осмотр, консультация) врача-онколога, профессора института онкологии (консультация с составлением плана лечения), первичный
B01.027.001.046
16 000 ₽
Прием (осмотр, консультация) врача-онколога, профессора института онкологии (консультация с составлением плана лечения), повторный
B01.027.002.016
14 000 ₽
Прием (осмотр консультация) иностранного врача-онколога
B01.027.001.150
60 000 ₽
Прием (осмотр, консультация) врача-онколога, директора института онкологии
B01.027.001.076
21 000 ₽
Удаленная консультация врача-онколога
B01.027.001.021
8 500 ₽
Удаленная консультация врача-онколога, кандидата медицинских наук
B01.027.001.023
11 000 ₽
Удаленная консультация врача-онколога, специалиста института онкологии (консультация с составлением плана лечения)
B01.027.001.105
9 600 ₽
Удаленная консультация врача-онколога, профессора института онкологии (консультация с составлением плана лечения)
B01.027.001.103
14 000 ₽
Удаленная консультация врача-онколога, главного специалиста по онкологии
B01.027.001.106
11 000 ₽
Удаленная консультация врача-онколога, директора института онкологии
B01.027.001.077
21 000 ₽
Онкологический консилиум
B01.027.001.051
27 800 ₽
Междисциплинарный консилиум с участием иностранных специалистов
B01.027.001.052
115 500 ₽
Проведение федерального консилиума
B01.027.001.067
22 900 ₽
Удаленная консультация израильского врача-онколога, заведующего отделением
B01.027.001.100
150 000 ₽
Удаленная консультация израильского врача-онколога
B01.027.001.107
75 000 ₽
Удаленная консультация израильского врача-онколога, ведущего специалиста
B01.027.001.101
100 000 ₽
Удаленная консультация израильского врача-онколога, профессора
B01.027.001.102
200 000 ₽
Тонкоигольная аспирационная биопсия щитовидной или паращитовидной железы под контролем ультразвукового исследования
A11.22.001.001.001
8 000 ₽
Спинномозговая пункция
A11.23.001
16 600 ₽
Уход за венозным портом (промывка порта)
A14.12.002.001
3 900 ₽
Уход за венозным катетером системы PICC-line
A14.12.001.005
2 900 ₽
Наложение малой асептической повязки
A15.01.001.055
1 100 ₽
Наложение большой асептической повязки
A15.01.001.056
2 000 ₽
Трепан-биопсия костного мозга крыла подвздошной кости
A11.03.001.001.001
25 500 ₽
Аспирационная биопсия костного мозга
A11.05.002.004
12 800 ₽
Гемоэксфузия
A18.05.009.001
7 150 ₽
Установка радиометок под контролем компьютерной томографии (без стоимости радиометок) 1-3 шт.
A07.30.021.001
17 900 ₽
Трепанобиопсия костей под контролем компьютерной томографии
A11.03.001.003.002
48 600 ₽
Диагностическая пункция жидкостных скоплений/кистозных образований (любой локализации) с забором материала для цитологического исследования
A11.30.024.001.002
15 400 ₽
Дренирование плевральной полости
A16.09.004
12 800 ₽
Резекция нижней челюсти
A16.03.081
840 000 ₽
Резекция ротоглотки комбинированная
A16.07.081.001
1 890 000 ₽
Пластика дефекта полости рта, глотки перемещенным лоскутом
A16.30.075.008
1 260 000 ₽
Установка пункционной трахеостомы под видеоэндоскопическим контролем
A16.08.003.001
472 500 ₽
Лимфаденэктомия шейная расширенная
A16.06.006.002
840 000 ₽
Лечение с использованием препарата Карбоплатин-Тева 150 мг (1 фл.)
A11.12.003.001.126
2 000 ₽
Лечение с использованием препарата Карбоплатин-Тева 450 мг (1 фл.)
A11.12.003.001.127
4 600 ₽