Горнастолев Дмитрий Игоревич
Заместитель главы филиала по инновациям. Главный специалист по онкологии Hadassah и группы компаний Медскан , Врач – онколог
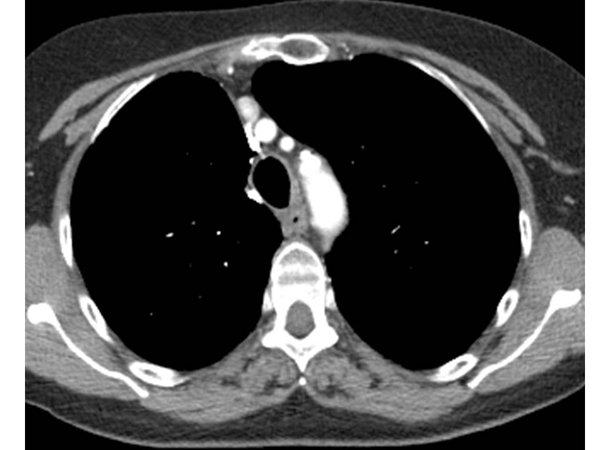
Рак трахеи – онкологическое заболевание, объединяющее группу злокачественных опухолей, прорастающих из слизистой оболочки. Вторичные новообразования развиваются на фоне метастазирования с других органов (щитовидной железы, гортани, лимфатических узлов, бронхов или легких). Летальный исход возникает из-за асфиксии или в результате местной инвазии.

Симптомы рака трахеи возникают, когда опухоль достигает определенных размеров:
На присутствие опухоли в области трахеи могут также указывать такие симптомы, как боли в горле, дискомфорт в области грудины, болезненность при глотании, свист при дыхании, снижение аппетита и повышение температуры тела без видимых на то причин. Проявляться онкологический процесс может частыми фарингитами и ангинами, изменениями в анализах крови и увеличением лимфатических узлов в области шеи и под челюстью.

Как и при других злокачественных опухолях, истинные причины развития рака трахеи до конца не изучены. Но благодаря проведенным исследованиям удалось определить основные факторы риска, которые предрасполагают к развитию заболевания:
При обращении в клинику пациент направляется на комплексное обследование, которое включает:
Основной метод лечения в клинике «Hadassah» в Москве – операционный (путем циркулярной резекции). При наличии показаний, дополнительно назначается неадъювантная или адъювантная химиотерапия в сочетании с облучением или отдельно.
Радикальная терапия не требует проведения дополнительного лечения. Химиотерапия назначается исключительно для улучшения отдаленных результатов. После радикального хирургического вмешательства 5-летняя выживаемость составляет от 65 до 85%. При плоскоклеточной форме рака показатели не превышают 40%.
Поддерживающая терапия включает профилактику и улучшение самочувствия больного, а также принятие мер для поддержания качества жизни. После хирургического лечения нужно на протяжении первых двух лет проходить физикальные осмотры каждые 3-6 месяцев. Даже по одному разу в полгода. Через 5 лет визиты можно проводить один раз в год при условии отсутствия жалоб.
Опытные онкологи высшей категории московского филиала израильской клиники Hadassah занимаются лечением заболевания рак трахеи не только у московских пациентов, но и жителей других регионов: Санкт-Петербурга, Нижнего Новгорода, Екатеринбурга, Краснодара, Новосибирска и других.
Харченко В. П. и др. Аденокистозный рак трахеи //Хирургия. Журнал им. НИ Пирогова. – 2016. – №. 11-2. – С. 4-11.
Харченко Г. А., Паньшин В. П., Гваришвили А. А. Хирургическое лечение первичного рака трахеи //Вестник Российского научного центра рентгенорадиологии Минздрава России. – 2011. – Т. 1. – №. 11. – С. 13-13.
Чертова Н. А. и др. Редкое клиническое наблюдение первичного рака трахеи //Южно-российский онкологический журнал. – 2020. – Т. 1. – №. 4. – С. 47-53.
Кожанов Л. Г., Кожанов А. Л., Романова Е. С. Современные аспекты диагностики и лечения аденокистозного рака трахеи и гортани: обзор литературы //Опухоли головы и шеи. – 2022. – Т. 12. – №. 1. – С. 99-106.
Дробязгин Е. А. и др. Эндоскопические вмешательства при опухолях трахеи //Вестник хирургии имени ИИ Грекова. – 2017. – Т. 176. – №. 4. – С. 18-21.
Прием (осмотр, консультация) врача-онколога первичный
B01.027.001
10 000 ₽
Прием (осмотр, консультация) врача-онколога повторный
B01.027.002
8 500 ₽
Прием (осмотр, консультация) врача-онколога, кандидата медицинских наук, первичный
B01.027.001.001
13 000 ₽
Прием (осмотр, консультация) врача-онколога, кандидата медицинских наук, повторный
B01.027.002.001
11 000 ₽
Прием (осмотр, консультация) врача-онколога, доктора медицинских наук, первичный
B01.027.001.002
16 000 ₽
Прием (осмотр, консультация) врача-онколога, доктора медицинских наук, повторный
B01.027.002.002
14 000 ₽
Прием (осмотр, консультация) врача-онколога, специалиста института онкологии (консультация с составлением плана лечения), первичный
B01.027.001.045
13 000 ₽
Прием (осмотр, консультация) врача-онколога, специалиста института онкологии (консультация с составлением плана лечения), повторный
B01.027.002.015
11 000 ₽
Прием (осмотр, консультация) врача-онколога, профессора института онкологии (консультация с составлением плана лечения), первичный
B01.027.001.046
16 000 ₽
Прием (осмотр, консультация) врача-онколога, профессора института онкологии (консультация с составлением плана лечения), повторный
B01.027.002.016
14 000 ₽
Прием (осмотр консультация) иностранного врача-онколога
B01.027.001.150
60 000 ₽
Прием (осмотр, консультация) врача-онколога, директора института онкологии
B01.027.001.076
21 000 ₽
Удаленная консультация врача-онколога
B01.027.001.021
8 500 ₽
Удаленная консультация врача-онколога, кандидата медицинских наук
B01.027.001.023
11 000 ₽
Удаленная консультация врача-онколога, специалиста института онкологии (консультация с составлением плана лечения)
B01.027.001.105
9 600 ₽
Удаленная консультация врача-онколога, профессора института онкологии (консультация с составлением плана лечения)
B01.027.001.103
14 000 ₽
Удаленная консультация врача-онколога, главного специалиста по онкологии
B01.027.001.106
11 000 ₽
Удаленная консультация врача-онколога, директора института онкологии
B01.027.001.077
21 000 ₽
Онкологический консилиум
B01.027.001.051
27 800 ₽
Междисциплинарный консилиум с участием иностранных специалистов
B01.027.001.052
115 500 ₽
Проведение федерального консилиума
B01.027.001.067
22 900 ₽
Удаленная консультация израильского врача-онколога, заведующего отделением
B01.027.001.100
150 000 ₽
Удаленная консультация израильского врача-онколога
B01.027.001.107
75 000 ₽
Удаленная консультация израильского врача-онколога, ведущего специалиста
B01.027.001.101
100 000 ₽
Удаленная консультация израильского врача-онколога, профессора
B01.027.001.102
200 000 ₽
Тонкоигольная аспирационная биопсия щитовидной или паращитовидной железы под контролем ультразвукового исследования
A11.22.001.001.001
8 000 ₽
Спинномозговая пункция
A11.23.001
16 600 ₽
Уход за венозным портом (промывка порта)
A14.12.002.001
3 900 ₽
Уход за венозным катетером системы PICC-line
A14.12.001.005
2 900 ₽
Наложение малой асептической повязки
A15.01.001.055
1 100 ₽
Наложение большой асептической повязки
A15.01.001.056
2 000 ₽
Трепан-биопсия костного мозга крыла подвздошной кости
A11.03.001.001.001
25 500 ₽
Аспирационная биопсия костного мозга
A11.05.002.004
12 800 ₽
Гемоэксфузия
A18.05.009.001
7 150 ₽
Установка радиометок под контролем компьютерной томографии (без стоимости радиометок) 1-3 шт.
A07.30.021.001
17 900 ₽
Трепанобиопсия костей под контролем компьютерной томографии
A11.03.001.003.002
48 600 ₽
Диагностическая пункция жидкостных скоплений/кистозных образований (любой локализации) с забором материала для цитологического исследования
A11.30.024.001.002
15 400 ₽
Дренирование плевральной полости
A16.09.004
12 800 ₽
Резекция нижней челюсти
A16.03.081
840 000 ₽
Резекция ротоглотки комбинированная
A16.07.081.001
1 890 000 ₽
Пластика дефекта полости рта, глотки перемещенным лоскутом
A16.30.075.008
1 260 000 ₽
Установка пункционной трахеостомы под видеоэндоскопическим контролем
A16.08.003.001
472 500 ₽
Лимфаденэктомия шейная расширенная
A16.06.006.002
840 000 ₽
Лечение с использованием препарата Карбоплатин-Тева 150 мг (1 фл.)
A11.12.003.001.126
2 000 ₽
Лечение с использованием препарата Карбоплатин-Тева 450 мг (1 фл.)
A11.12.003.001.127
4 600 ₽